Zatürre veya tıptaki adıyla pnömoni, bir veya birkaç akciğer lobunun iltihaplanması şeklinde ortaya çıkan, daha çok küçük çocuklarda, ileri yaştakilerde ve kronik bir hastalığı bulunan kişilerde daha ağır seyreden ve bazen ölümle sonuçlanabilen ateşli bir hastalıktır. Genelde kış aylarında görülen bu hastalıkta akciğerlerde bulunan hava kesecikleri iltihaplı bir sıvıyla dolar. Akciğerlerin görevi olan oksijen alış veriş işlevi bozulur ve bu nedenle kanda oksijen düzeyi azalır.
Nedenleri
İltihaplanmaya virüs, bakteri veya mantar gibi mikroorganizmalar neden olur. Zatürreye yol açan otuzun üzerinde mikroorganizma bilinmektedir
Bulaşma
Zatürreye neden olan mikroplar kişiden kişiye, bir iki metrelik mesafelerden yakın temas sonucu bulaşırlar. Hastalığın sağlıklı kişilere bulaşması, öksürük, aksırık ya da hasta kişilerin konuşması sırasında havaya yayılan damlacıkların doğrudan solunması yoluyla gerçekleşir.
Zatürreye neden olan bakteriler, yakın temas sonucu solunumla beraber vücuda alınır. Üst solunum yollarında, burun ve ağzın birleştiği yerde yerleşip çoğalırlar. Burada gruplar halinde yer alırlar. Kalabalık yerler, kapalı alanlar, insanların toplu hâlde yaşadığı okullar, askeriye ve yurtlar zatürrenin bulaşma olasılığının fazla olduğu yerlerdir. Salgın şeklinde ortaya çıkabilir fakat soğuk algınlığı kadar bulaşıcı değildir. Bulaşması için en uygun ortam bir arada yaşayan ailedir. Özellikle küçük çocuklar arasında yaygındır.
Görülme sıklığı
Dünya Sağlık Örgütü’nün verilerine göre dünyada her yıl her 1000 kişiden 10-15’i zatürre’ye yakalanmaktadır. Türkiye’de ise kayıtlı olarak yaklaşık 90.000 zatürre vakası görülmektedir.
Hastalığa ortam hazırlayan etmenler
Alkol, uyuşturucu maddeler, sigara ve kötü hayat şartları, ağır geçen grip hastalığı zatürreye ortam hazırlayan etmenlerdir. Genellikle kızamık, boğmaca, grip, difteri, suçiçeği, tifo ve çeşitli bakteri enfeksiyonları ya da vücudu aşırı ölçüde zayıf düşüren hastalıkların seyri sırasında ortaya çıkar.
Belirtiler
* Titreme
* Sarı veya yeşil renkte balgam çıkartmak
* Pas renginde olan koyu kırmızımsı kıvamlı balgam
* Göğüs ağrısı
* Kuru ve hırıltılı öksürük
* Soluk alındığı zaman sırta çivi batırılıyormuşçasına duyulan ağrı hissi
* Şiddetli baş ağrısı
* Şiddetli bir titremenin ardından ateş yükselmesi
* Şuur kaybı
* Yorgunluk
* Önde meme bölgesi ve arkada ise kürek kemiğinin ucunda duyulan ağrı
* Solunum hareketleri ve öksürüğe bağlı olarak şiddetlenen göğüs ağrısı
* Kemik ağrısı
* İştah azalması
* Dalgınlık
* Algılama bozuklukları
* Dudaklarda oluşan uçuklar
* Halsizlik
* Aşırı susama
* Hızlı solunum
* Bayılacak gibi olma
* Baş dönmesi
* Yüzde şişme
* Boğaz ağrısı
* Yan ağrısı
* Kuru ve beyaz dil
* Dudaklarda mavileşme
* Miktarı azalmış ve bekletildiğinde açık renk tortu bırakan idrar
* Koma
Korunma
Dengeli düzenli beslenmek, aşı yaptırmak, sigara içmemek, alkol alımından kaçınmak, vitamin ve mineralleri düzenli almak gibi önlemler, hastalığın ortaya çıkmasında koruyucu bir etkiye sahiptir
.
Zatürre aşısı yapılması gereken risk grupları
* Kardiyovasküler hastalığı olanlar
* Kronik akciğer hastalığı bulunanlar
* Diyabet hastaları
* Alkolikler
* Karaciğer sirozu olanlar
* Beyin-omurilik sıvısı kaçağı olanlar
* Dalağı işlev görmeyen veya alınmış hastalar
* Hodgkin hastaları
* Lenfomalı hastalar
* Multipl miyeloma vakaları
* Kronik böbrek yetmezliği olanlar
* Nefrotik sendrom vakaları
* Organ nakledilenler
* Kemoterapi ve/veya radyoterapi görenler
* AIDS’li hastalar
* Huzurevlerinde yaşayanlar
* 65 yaşın üzerindeki herkes
Tanı
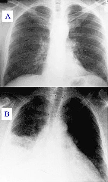
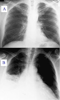
Hastalığın tanısı fiziki muayene, akciğer filmi çekilmesi, balgam kültürü yapılması ve tam kan tetkiki benzeri şekillerde konulabilir.
Tedavi
* Antibiyotikler
* Yatak istirahati
* Ateş düşürücüler
* Öksürük kesici ilaçlar
* Oksijen alınması
* Su kaybını karşılayacak ölçüde sıvı alınması
* Bol vitaminli ve yüksek kalorili diyet
* Hastanın çok iyi beslenmesi
Zatürre hakkında bilinmeyenler
* Zatürre özellikle; küçük çocuklar; yaşlılar; kalp, tuz, böbrek ve bronşit hastalarında ölümlere yol açabilmektedir.
* Zatürre genellikle iki hafta kadar sürer ama hastalık düzeldikten sonra kişi bir aydan uzun süre kendini halsiz ve yorgun hissedebilir.
* Zatürreye erkekler kadınlara göre daha kolay yakalanırlar.
* Siyah ırktan kişiler hastalığa karşı daha duyarlıdır.









