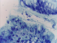
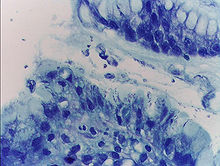
Gastrit, mide mukozasının iltihaplanmasıdır.
Alkol, tütün, kimyasal maddeler ve bunun gibi tahriş edici ürünlerden, bakteri ve virüs kökenli enfeksiyonlardan, alerjilerden kaynaklanabilen gastritin (ya da mide iltihabı), ivegen biçiminin başlıca belirtileri arasında yemeklerden sonra midede rahatsızlık duygusu, bulantı, kusma, ekşime, iştah yitimi, mide ağrıları sayılabilir; genellikle ortaya çıkmasına yolaçan maddenin belirlenip, alımına son verilmesiyle kendiliğinden geçer.
Süregen biçimi, mide ya da onikiparmak ülserlerinin, demir eksikliğine bağlı kansızlığın ya da mideyle ilgili başka hastalıkların belirtisi olabilir.
Gelişmiş toplumlarda insanların %10’unda, gelişmemiş toplumlarda ise %80’inde bulunan Helicobacter pylori de insanlarda midenin iç yüzeyinde kronik inflamasyon yaratarak gastrite neden olan bir bakteridir. Helicobacter pylori bakterisi yok edilmeden tedaviden sonuç almak mümkün değildir.








