Nedenleri
Dişeti İltihabı: Diş etleriniz kızardı, yumuşadı, parlıyor ve şiş. Hafif fırçalamayla bile kolayca kanıyor. Dişeti iltihabı, diş temizliğiyle önlenebilir. Ancak bir kere başladı mı, tedavi edilmezse, ciddi dişeti ve çene kemiği hastalıklarına yol açabilir.
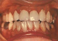
Diş Hastalıkları: Dişeti iltihabınız tedavi edilmedi. Dişleriniz kolayca kanıyor. Şişmiş diş etlerinizle dişlerinizin arasında bakteriler ve yemek artıkları birikmiş. Ağzınızda tuhaf bir tat var ve nefesiniz kokuyor. Diş etleriniz, diş diplerinden çekiliyor; bu bölge sıcağı, soğuğa ve tatlı yiyecek ve içeceklere hassas. Bazen dişeti torbalarında apseler oluşuyor. Diş kökünüzdeki kemik hasar gördü ve bir ya da birkaç dişinizi kaybettiniz. Bu, ciddi bir durumdur.
Anemi veya Lösemi: Diş etleriniz kolayca kanıyor ve aynı zamanda burun kanaması, yorgunluk ve güçsüzlük, nefes darlığı, çabuk çürüme eğilimi söz konusuysa, ciddi bir aneminiz olabilir. Bu belirtilere ek olarak kemik ağrısı (özellikle bacaklarınızda) karında ağrı ve şişme, mide bulantısı, ateş, gece terlemesi, iştahsızlık ve kilo kaybı görülüyorsa, bir tür lösemi söz konusu olabilir.
Vincent Enfeksiyonu: Kızarmış, şişmiş, ağrıyan ve kanayan diş etleriniz, gri bir zarla kaplanmış. Konuşurken ya da nefes alırken acıyor ve nefesiniz kötü kokuyor, ağzınızda kötü bir tat var. Aşırı tükürük oluşuyor. Bu durum, diş temizliğine dikkat etmemekten, fiziksel ve duygusal stresten, yetersiz beslenmeden ve çok sigara içmekten kaynaklanan ve bulaşıcı olmayan bir enfeksiyondur. Tedavi edilmesi gerekir ve tahrişe yol açan nesnelerden (sigara ya da baharatlı yiyecekler) uzak durulmalıdır.
Ne Yapmalı
Diş etlerinizi fluorürlü bir diş macunuyla günde en az iki kere veya mümkünse her yemekten sonra fırçalayın.
Günde en az bir kere diş ipliği kullanın.
Dişlerinizi iyi temizleyin; temizlediğinizi renk veren tabletlerle kontrol edin.
Yediklerinize dikkat edin. Aşırı rafine şeker içeren, özellikle de dişlerinize yapışan yiyeceklerden kaçının. Yeşil sebze ve elma gibi kaba maddeli yiyecekleri seçin.
Asiti almak için yemeğin sonunda ağzınıza peynir atın.
A ve C vitaminini eksik etmeyin. Bunlar kavun, brokoli, ıspanak, ciğer, güçlendirilmiş süt ürünleri, portakal, greyfurt, domates, patates ve yeşil biberde vardır.
Yılda iki kere dişlerinizi diş doktoruna temizletin.









