Anjiyo ya da anjiyografi, ‘damarın görüntülenmesi’ için yapılan bir tanı yöntemidir. En yaygın olarak kullanıldığı alan kalp hastalıklarının tanısında kullanılan koroner anjiyodur. Bu işlemde kalbin atardamarları incelenerek damarlardaki tıkanıklık tespit ediliyor. Damar görüntülemek için yapılan hareketli film çekimi olarak tanımlanan bu işlem kateter laboratuvarında yapılıyor.
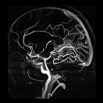
Beyin anjiyosunda MR anjiografi vücuttaki damarların görüntülendiği bir MR çalışmasıdır. Manyetik rezonans anjiografi klasik manyetik rezonans (MR) görüntüleme ile anjiografiyi birleştirerek vücudumuzdaki damarlar hakkında deyatlı bilgi veren bu yöntem birçok hastalığın tanısında yardımcı oluyor.
MR teknolojisi kullanarak damar hastalıklarının tanısında son yıllarda oldukça sık kullanılmaktadır. İlaç verilmeden büyük ana damarlar rahatça görüntülenebilmektedir.
Anjiyografi beyin damarlarının görüntülenmesinde de kullanılan bir yöntemdir. Boyunda ve beyin damarlarında tıkanıklık olup olmadığını tespit etmek için beyin anjiyosu yapılmaktadır. Özel ilaçlar kullanılarak görüntü kalitesini arttırarak, damar yapılara ait ince ayrıntıların görüntülendiği beyin anjiyosunun en önemli avantajı kateter ve BT anjiografide kullanılan kontrast maddelere bağlı alerjik reaksiyon riskinin oldukça düşük olmasıdır. Üstelik diğer anjiografi yöntemlerine göre inceleme süresi ve maliyeti daha düşüktür. Beyin damar tıkanıklığı, beyin ve beyinciği besleyen, boyunda ve kafa içindeki damarlarda oluşan tıkanıklıkları anlatır. Çeşitli nedenlerden dolayı beyin damarlarında tıkanma olabilir. Boyunda şah damarı ya da küçük damarların tıkanması, çeşitli beyin hastalıklarına ve felce neden olabiliyor. Damar hastalıklarına, daha çok ileri yaştaki kişilerde rastlanıyor.
Bu tıkanıklıklar vücudun diğer bölgelerinde olduğu gibi bazı durumlarda hiç şikayete neden olmaz iken, bazı durumlarda da felç (inme) ve hatta ölüme neden olabilir. Beyin damarlarında balonlaşma olarak tanımlanan anevrizma da konumuna göre riski yüksek şikayetlere neden olmaktadır. Bu gibi şikayetlerin olması halinde MR ve beyin anjiyosuna başvuruluyor. Kasıktan girilerek yapılan beyin anjiyosu sayesinde beyin damalarında oluşan tıkanıklıklar, henüz patlamamış durumda olan Anevrizmalar tespit edilebiliyor. Tıpkı kalp anjiyosunda olduğu gibi beyin anjiyosunda da kataterle girilerek tıkalı damarlar tespit ediliyor. Beyin anjiyosunda da bazı riskler söz konusudur. Anjiyo esnasında beyin damarlarında bulunan Anevrizmaların patlama riski bulunmaktadır.











