Besnier-Boeck Hastalığı yani daha bilinen ismiyle Sarkoidoz. Öncelikle Sarkoidoz’un ne olduğundan kısaca bahsedelim. Sarkoidoz,bağışıklık sistemimizinanormal bir şekilde çalışmasından dolayı meydana gelen ve de genellikle 20 ile 40 yaşları arasında daha çok karşılaştığımız bir hastalıktır.Günümüzde kesin nedeni hakkında kesin bir tanı yoktur.
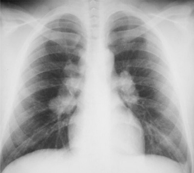
Bazı organ ve lenf nodlarında non kazeifiye granülomatöz reaksiyonla giren, etyolojisi bilinemeyen çoklu sistem bir hastalıktır. Siyahi soydan gelen insanlarda daha çok görülmektedir. Tüberkiloz ile klinik özellikleri açısından birbirine yakınlıklar, benzerlikler gösteren bir hastalıktır. Sarkoidoz hastalığında, hasta olarak gözlenen dokularda küçük düğümler ortaya çıkmaktadır. Aile içinde hasta birinin olduğunda, diğer aile fertlerinde de gözlemlenmesi genetik ırsi bir hastalık olduğundan şüphelenmesine sebep olmuştur.
Sarkoidoz, özellikle bedensel aktiviteler sırasında ya da sonrasında genel anlamda bir yorgunluğa, ateş ve nefes darlığına sebep olabilir. Sarkoidoz hastalığının ilk dönemlerinde genellikle hastalık belirtiler gözlenemez. Bu da geç tanıya sebebiyet verir. Genelde başka bir sebeple akciğer filmi çektirildikten sonra sarkoidoz hastalığından şüphelenebilir. Bundan emin olabilmek için ise fiberoptik bir bronkoskop ile akciğerden biyopsi örneği alınır.
Sarkoidoz hastalığı genelde tedavi gerekesinimi duymadan yaklaşık 6 aylık bir dönemde kendiliğinden geçmektedir.









Warning: A non-numeric value encountered in /var/www/vhosts/acilservis.pro/httpdocs/wp-content/themes/acilservis/inc/function-opt.php on line 949
3 yıldır Sarkadioz akciğerlerimde var nefes darlığı halsizlik var zayıf degilim ne önerirsiniz
ben 10 yıldır sarkoidoz hastayım gecmedi artık bitsın ıstıyorum evre uc teyım kortizon tedavisi baslandı ilaçları kullandım daha cok kotu oldum bende doktorumdan habersiz ilaçları biraktım balgam yok ates yok bazen haksizlık var yururken nefes darlıgım var hangi bitlisel İlaç iyi geliyor lütfen soyelyin her ay üniversite hastanelerine gitmekten 10 yıkdır bıktım yasım 33.ben bu hastalıgım 23 yasında teshis konuldu. sırf bu yuuzden evlenemiyorum evlendgımde rahatsızlıgım ılerlerse diye.
36 yaşındayım sarkoidoz teşhisi kondu 2 yıl önce burunoskopide çıktı benim kalp kapağıma vurmuş %30 çöküntü sebebbi vermiş çok yorgun ve halsiz kalıyorum bana önerebiliceniz bir tedaviniz varmı varsa şu adrese atın
[email protected] a gönderin tedavisi farsa söyleyin
Merhab! Bana 2008 yılında Sarkoidoz tehşisi kondu CT cekildi piopsi yapıldı vs vs.
Şimdiye dek hiç bir tedaviye luzum görmedi doktorum lakin nisan sonu sağ Gözümde
Uveitis oldu on gün sonra sol Gözümde Ulra-cortenol damlaları kulanıyorum,gözlerim
Her kontrolü yapıldı görme sinirleri gözün arka kısmınada bakıldı anormal bişey cıkmadı.
Akcığer uzaman doktorum kortızon tedavisine gerek görmüyor çünki genel halim iyi nefes
Zorluğum yok sadece cabuk yoruluyorum ve o zaman nefesim az geliyor..Gözlerimin durumu
Bu hastalık sonucu ve zirvesi oldunu dedi hekimler ama tedavi yapılmıyor??? Sarkoidoz
Üçüncü evresindeyim korkuyorum ereye kada sürecene ve başka organları ada bulaşmasın diye
Ne yapcağımı bilemiyor. Bana bilgi verirseniz sevinirim
Saygılar ve Selamlar
İnci Y.
aysel hanım hangi dr. gittiniz. Kardeşimde de belirtileri var ama kesin tehsiş konmadı. Akciğer tomografisini görünce dr. Kanser yada veremde olabilir diyorlar. sanatoryuma gönderiyorlar.
ben 7 yıldan beri sarkoidoz hastasıyım ve 3. evre deym suan kortizon tedavisi başlandı. 3 kera tekrarladı.önereceğiniz kür nasıl bir kürdür.ve gerçekten kanıtlanmış bir etkisi var mı….